Mô giậu đóng vai trò then chốt trong quá trình quang hợp của thực vật. Hiểu rõ cấu tạo của mô giậu và vị trí của mô giậu trong lá giúp chúng ta lý giải các cơ chế sinh học phức tạp của mô đồng hóa thuộc phần thịt lá (mesophyll), từ đó hiểu sâu hơn về thế giới thực vật.
Giá trị sinh học và cấu tạo của mô giậu trong tự nhiên
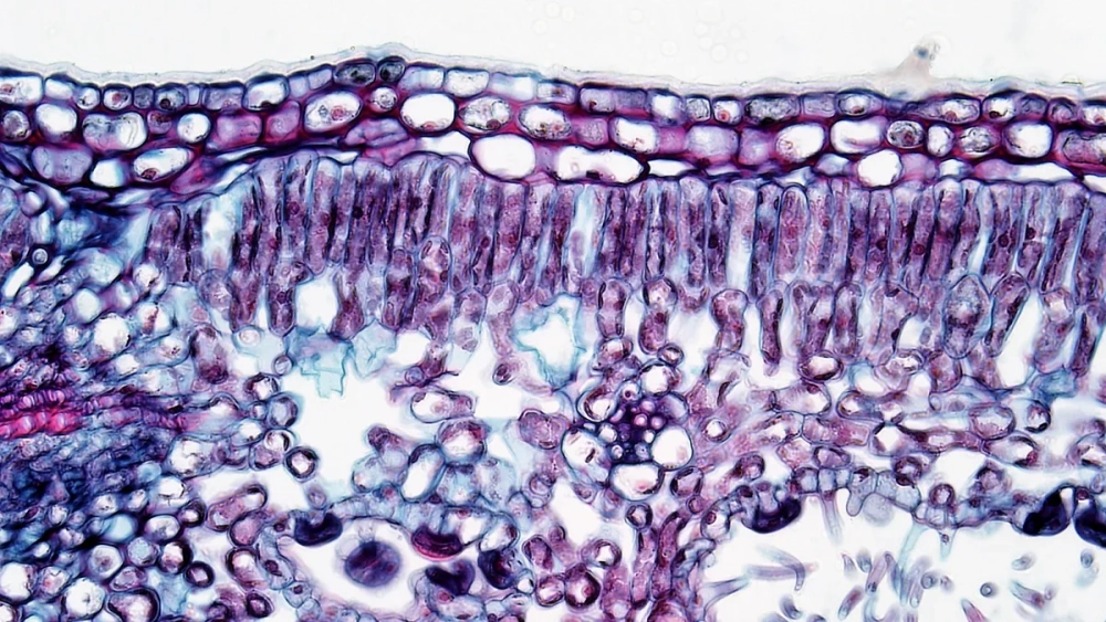
Mô giậu là lớp nhu mô giậu nằm ngay dưới biểu bì mặt trên của lá. Đặc điểm tế bào mô giậu là có hình trụ dài, xếp khít nhau theo phương thẳng đứng để tối ưu hóa việc hấp thụ ánh sáng.
Giải phẫu hình thái lá cây cho thấy sự sắp xếp tế bào mô giậu dày đặc cùng mật độ lục lạp trong mô giậu rất cao.
Đây là lý do tại sao mô giậu chứa nhiều lục lạp nhất, biến nó thành trung tâm năng lượng chính, giúp thực vật tổng hợp chất hữu cơ hiệu quả từ năng lượng mặt trời.

Bộ sưu tập hình ảnh mô giậu và giải phẫu lá cây sắc nét
Bộ sưu tập hình ảnh cắt ngang phiến lá sau đây cung cấp cái nhìn chi tiết về cấu trúc lá cây 2 lá mầm. Bạn sẽ dễ dàng so sánh mô giậu và mô khuyết thông qua kích thước khoảng gian bào trong mô giậu.
Những tư liệu này làm rõ vai trò quang hợp của mô giậu cũng như sự khác biệt giữa mô giậu ở thực vật C3 và C4.
Đây là nguồn tài liệu quý giá cho việc nghiên cứu mô mềm thực vật, giúp giải thích tại sao mặt trên của lá xanh hơn mặt dưới một cách trực quan nhất.
>>> Xem các khoảnh khắc khác: Interleukin-1 và cơ chế kích hoạt hệ miễn dịch chống viêm















>>> Đừng bỏ lỡ: Cấu tạo tế bào thực vật và vai trò đối với sự sống xanh
Hiểu về mô giậu giúp bạn nắm vững kiến thức về sinh lý thực vật cơ bản. Hãy khám phá thêm các bài viết về giải phẫu thực vật hoặc danh mục mô mềm thực vật để có cái nhìn toàn diện. Đừng quên chia sẻ nếu thấy thông tin về mô giậu này hữu ích nhé!
>>> Cùng tìm hiểu: Cơ chế phản xạ: cách cơ thể điều khiển mọi hoạt động sống