Bộ máy Golgi đóng vai trò như một "bưu điện" trung tâm của tế bào. Việc hiểu rõ cấu trúc bộ máy Golgi và các chức năng của bộ máy Golgi giúp chúng ta giải mã cách thức vận chuyển vật chất và quá trình đóng gói protein diễn ra nhịp nhàng bên trong cơ thể sống.
Trạm điều phối thông minh và chức năng của bộ máy Golgi
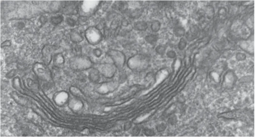
Bộ máy Golgi là một bào quan hệ thống màng gồm các túi dẹt xếp chồng lên nhau. Ở thực vật, nó còn được gọi là dictyosome là gì với cấu trúc đặc thù.
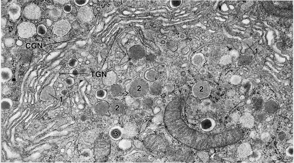
Chức năng chính là tiếp nhận, biến đổi và phân phối các sản phẩm từ lưới nội chất. Quá trình glycosyl hóa protein diễn ra tại đây giúp hoàn thiện cấu trúc phân tử trước khi vận chuyển đến nơi cần thiết hoặc sự hình thành lysosome.
Đây chính là trạm kiểm soát chất lượng nghiêm ngặt nhất, đảm bảo mọi hoạt động bài tiết tế bào diễn ra chính xác.

Thị giác hóa tri thức qua bộ sưu tập hình ảnh bộ máy Golgi
Để hình dung rõ hơn về sự vận chuyển vật chất trong tế bào, bộ sưu tập hình ảnh 3d bộ máy Golgi dưới đây sẽ mang đến cái nhìn trực quan nhất.
Bạn sẽ thấy rõ sự khác biệt giữa mặt Cis và mặt Trans của Golgi trong việc tiếp nhận và xuất xưởng các túi tiết Golgi.
Hình ảnh minh họa chi tiết mối quan hệ giữa nhân và bộ máy Golgi, giúp bạn hiểu rõ cách thức bộ máy Golgi ở tế bào động vật và thực vật duy trì sự sống thông qua hệ thống màng phức tạp.
















>>> Một số hình ảnh khác: Đặc điểm tế bào nhân sơ và những bí mật sinh học thú vị
Bộ máy Golgi không chỉ là trạm vận chuyển mà còn là linh hồn của quá trình bài tiết. Hy vọng bài viết đã giúp bạn nắm vững kiến thức về bào quan này. Hãy tham khảo thêm các bài viết về sinh học tế bào hoặc danh mục bào quan để mở rộng kiến thức.
>>> Khám phá bộ sưu tập: Interleukin-1 và cơ chế kích hoạt hệ miễn dịch chống viêm
>>> Khám phá bộ sưu tập: Phân tích cấu trúc tế bào nhân thực qua hình ảnh mô phỏng